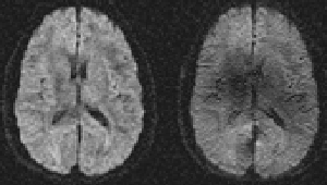
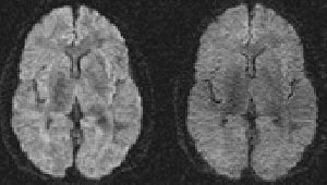
Motion corrupted images

Sometimes, you will see images that are corrupted, typically caused by subtle motion such as swallowing. A couple of examples (shown next to good images from the same study):

"Spotted" or "striped" artifact

Focal signal drop

Global signal drop, blurring

The tensorcalc program attempts to identify corrupted images by comparing overall signal intensity in the image to a reference signal that is based on the other diffusion weighted images in the series.
In addition, noise corrupted images can be manually excluded from further calculations by using the input option "-excl".